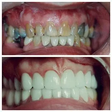
Before & After Gallery

Our skilled dentist and team provide a wide range of services to enhance your smile. We invite you to explore our before and after gallery to see some of the beautiful results Dr. Amanda Thompson has helped our patients accomplish. To learn more about quality dental care in Homewood, Alabama, and schedule your appointment, give us a call today at 205-407-4220!

Hours of Operation

Monday

9:00 am - 5:00 pm

Tuesday

9:00 am - 5:00 pm

Wednesday

9:00 am - 5:00 pm

Thursday

9:00 am - 5:00 pm

Friday

Closed

Saturday

Closed

Sunday

Closed

Monday
9:00 am - 5:00 pm
Tuesday
9:00 am - 5:00 pm
Wednesday
9:00 am - 5:00 pm
Thursday
9:00 am - 5:00 pm
Friday
Closed
Saturday
Closed
Sunday
Closed

Our Location

Contact Us

Send us an email today